| 提交询价信息 |
| 发布紧急求购 |
价格:电议
所在地:北京
型号:
更新时间:2024-07-16
浏览次数:700
公司地址:北京市顺义区信中北街16号院3号楼4层432
![]()
李果(女士)
兔肺动脉成纤维细胞
产品信息
平台编号:Bio-53928
规格:1×10⁶Cells/T25培养瓶
细胞信息:原代细胞
产品名称:兔肺动脉成纤维细胞
组织来源:肺动脉组织
产品规格:5×105cells/T25细胞培养瓶
用途:研究
注意事项:仅用于科学研究或者工业应用等非医疗目的不可用于人类或动物的临床诊断或治疗,非药用,非食用(产品信息以出库为准)
细胞简介
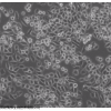
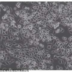
兔肺动脉成纤维细胞分离自肺动脉组织;肺动脉亦称肺动脉干。在呼吸空气的脊椎动物中,把静脉血由心脏导向肺脏的动脉。肺大动脉起于右心室,在主动脉之前向左上后方斜行,在主动脉弓下方分为左、右肺动脉,经肺门入肺。肺动脉干位于心包内,为一粗短的动脉干。起自右心室,在升主动脉前方向左后上方斜行,至主动脉弓下方分为左、右肺动脉。左肺动脉较短,在左主支气管前方横行,分二支进入左肺上、下叶。右肺动脉较长而粗,经升主动脉和上腔静脉后方向右横行,至右肺门处分为三支进入右肺上、中、下叶。成纤维细胞(Fibroblast)是疏松结缔组织的主要细胞成分,由胚胎时期的间充质细胞分化而来;成纤维细胞较大,轮廓清楚,多为突起的纺锤形或星形的扁平状结构,其细胞核呈规则的卵圆形,核仁大而明显。成纤维细胞功能活动旺盛,细胞质嗜弱碱性,具明显的蛋白质合成和分泌活动,在一定条件下,它可以实现跟纤维细胞的互相转化;成纤维细胞对不同程度的细胞变性、坏死和组织缺损的修复有着十分重要的作用。刚分离的肺动脉成纤维细胞呈圆形、折光性良好,悬浮于培养基中。30min细胞贴壁,其中部分开始伸出伪足,表现为小的突起;6h后细胞基本贴壁完全,伸展成梭形,胞核清晰,分布较均匀,散在生长,不聚集成团;细胞生长迅速,5-7天即呈融合状态,细胞排列紧密,有的交叉重叠生长,平坦、胞体较大,细胞质透明,细胞核较大,呈椭圆形,颜色淡。细胞融合,并彼此连接成网状;细胞呈突起的纺锤形或星形的扁平分布。肺动脉成纤维细胞在生理条件下的主要功能包括:构造和维持肺动脉的正常形态;合成和释放细胞外基质;组织损伤后及时大量聚集修复损伤组织。
方法简介
实验室分离的兔肺动脉成纤维细胞采用胰蛋白酶-胶原酶混合消化法结合差速贴壁法制备而来,细胞总量约为5×10⁵cells/瓶。
质量检测
实验室分离的兔肺动脉成纤维细胞经Vimentin免疫荧光鉴定,纯度可达90%以上,且不含有HIV-1、HBV、HCV、支原体、细菌、酵母和真菌等。
培养信息
培养基 含FBS、生长添加剂、Penicillin、Streptomycin等
换液频率 每2-3天换液一次
生长特性 贴壁
细胞形态 成纤维细胞样
传代特性 可传5代左右;3代以内状态最佳
消化液 0.25%胰蛋白酶
培养条件 气相:空气,95%;CO2,5%
兔肺动脉成纤维细胞体外培养周期有限;建议使用配套的专用生长培养基及正确的操作方法来培养,以此保证该细胞的最佳培养状态。

免责声明:以上所展示的[ 兔肺动脉成纤维细胞]信息由会员[百欧博伟生物技术有限公司]自行提供,内容的真实性、准确性和合法性由发布会员负责。