| 提交询价信息 |
| 发布紧急求购 |
价格:电议
所在地:北京
型号:
更新时间:2024-09-05
浏览次数:779
公司地址:北京市顺义区信中北街16号院3号楼4层432
![]()
李果(女士)
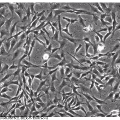
大鼠角膜基质细胞
细胞简介
平台编号:Bio-129661
规格:1×10⁶Cells/T25培养瓶
细胞信息:原代细胞
细胞名称:大鼠角膜基质细胞
用途:研究
注意事项:仅用于科学研究或者工业应用等非医疗目的不可用于人类或动物的临床诊断或治疗,非药用,非食用(产品信息以出库为准)
细胞详述
角膜位于眼球前壁的一层透明膜,约占纤维膜的前1/6,从后面看角膜呈正圆形,从前面看为横椭圆形。角膜厚度各部分不同,中央部最薄。角膜分为五层,由前向后依次为:上皮细胞层、前弹力层、基质层、后弹力层、内皮细胞层。
角膜基质为中层结缔组织,完全透明,角膜基质层中的主要细胞成分是角膜基质细胞,它能合成和分泌纤维,并且对胶原束的排列和平衡都起作用。
细胞特性
1)组织来源于实验动物的正常眼组织。
2)细胞鉴定:波形蛋白(Vimentin)免疫荧光染色为阳性。
3)经鉴定细胞纯度高于90%。
4)不含有HIV-1、HBV、HCV、支原体、细菌、酵母和真菌。
5)细胞生长方式:长梭形细胞,不规则细胞,贴壁培养。
产品的运输和保存
视天气状况和运输距离远近,公司与客户协商后选择下述方式中的一种进行。
1)1mL冻存细胞悬液装于1.8ml的冻存管中,置于装满干冰的泡沫保温盒中进行运输;收到细胞后请尽快解冻复苏细胞进行培养,如无法立刻进行复苏操作,冻存细胞可在-80℃的条件下保存1个月。
2)T-25培养瓶充满完全培养基后进行常温运输;收到细胞后请镜下观察细胞生长状态,如铺瓶率超过85%请立即进行传代操作,如悬浮的细胞较多,请将培养瓶至于培养箱中静置过夜以帮助未死亡的悬浮细胞能够再次贴壁。
产品使用
1)本产品仅能用于科研
2)本产品未通过直接用于活体动物和人的审核
3)本产品未通过用于活体诊断的审核

欢迎访问微生物菌种查询网,本站隶属于北京百欧博伟生物技术有限公司,单位现提供微生物菌种及其细胞等相关产品查询、咨询、订购、售后服务!与国内外多家研制单位,生物医药,第三方检测机构,科研院所有着良好稳定的长期合作关系!欢迎广大客户来询!
免责声明:以上所展示的[ 大鼠角膜基质细胞]信息由会员[百欧博伟生物技术有限公司]自行提供,内容的真实性、准确性和合法性由发布会员负责。