提交询价信息
发布紧急求购
您好,欢迎来到给览网!手机版|本站服务|添加收藏|帮助中心
您所在的位置: 给览网 » 供应 » 实验室常用设备 » 生物试剂 » SSP-25人肝胆管癌细胞

SSP-25人肝胆管癌细胞

上海冠导生物工程有限公司
会员指数: 企业认证:

价格:电议

所在地:上海

型号:

更新时间:2019-05-08

浏览次数:865

公司地址:中国大陆(上海)

万经理(先生)  

产品简介

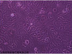
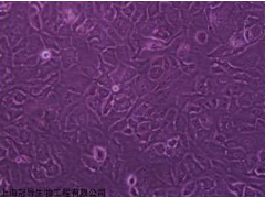
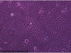
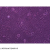
SSP-25人肝胆管癌细胞

公司简介

 上海冠导生物工程有限公司(简称:冠导生物)致力于品质优良的生化科学产品,冠导生物与中国生化科学事业共同发展,我们的产品质量值得信赖,种类也更丰富。
冠导生物提供十多万种生化科学产品,应用领域涵盖分子生物学、细胞生物学、化工等各个方向,公司服务对象有国内各大院校、科研机构、工厂等
冠导生物服务区域江浙沪、鲁豫皖、湘赣鄂闽、粤桂琼渝、京津冀晋等国内省份,公司正筹划出口贸易业务,为国内外用户提供更优质服务。
努力到誉冠全球,拼搏到业以先导,是我们冠导生物每一位员工,铭记在心的前进动力!
展开

产品说明

 SSP-25人肝胆管癌细胞
C1223
SSP-25细胞
SSP-25(人肝胆管癌细胞)
见细胞说明书
细胞主要来源ATCC、DSMZ、ECACC、RIKEN以及少数外大学建系
P4
复苏T25培养瓶(一瓶)或冻存SSP-25人肝胆管癌细胞1ml冻存管(两支)
1*10(6)
1
肝胆管
详见细胞说明书部分
贴壁
95%(Viability by Trypan Blue Exclusion)
细胞不含有HIV-1、HBV、HCV、支原体、细菌、酵母和真菌
详见细胞说明书
建议1:2-1:3 两天换液一次
详见细胞说明书
请具体查阅相关发表文章
特别注意:(如使用公共实验室或者初次接触细胞培养,SSP-25人肝胆管癌细胞建议添加双抗培养)
1、收到细胞后请尽快更换为含15%血清的新鲜培养基,如因特殊情况需要继续使用原瓶,请在原瓶培养基中额外添加10%的血清,(原瓶培养基的继续使用时间长不宜超过72小时)
2、贴壁细胞收到当天切忌立刻消化,请将细胞换液后放置培养箱孵育到第二天再做消化传代,请优先选择直径6cm的培养皿进行传代培养
3、如签收时出现培养瓶壁破裂,漏液等情况请及时做好照片记录并联系实验室

本页产品地址:http://www.geilan.com/sell/show-6166358.html
免责声明:以上所展示的[ SSP-25人肝胆管癌细胞]信息由会员[上海冠导生物工程有限公司]自行提供,内容的真实性、准确性和合法性由发布会员负责。
[给览网]对此不承担任何责任。
友情提醒:为规避购买风险,建议您在购买相关产品前务必确认供应商资质及产品质量!

发布询价单

没有合适的产品?是否在线询价?
询价标题
联系人
电话
主要内容
验证码