提交询价信息
发布紧急求购
您好,欢迎来到给览网!手机版|本站服务|添加收藏|帮助中心
您所在的位置: 给览网 » 供应 » 传感器 » 液位传感器 » 1F8G5D6D2 1F8G5D6D2细胞

1F8G5D6D2 1F8G5D6D2细胞

上海信裕生物科技有限公司
会员指数: 企业认证:       

价格:电议

所在地:上海

型号:1F8G5D6D2

更新时间:2019-10-25

浏览次数:834

公司地址:上海市闵行莘庄工业区春东路508号A1-2F

陈军 (先生) 徐经理 

产品简介

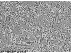
1F8G5D6D2细胞培养基 RPMI1640(w/oHepes)10%FBS生长特性 半贴壁生长

公司简介


上海信裕生物科技有限公司是一家生物高新技术企业,主要从事免疫学、分子生物学和常规生化试剂的研发、销售。并代理销售Amresco,qiagen,GenWay,Sciencell,Millipore,eBioscience,Sigma、R&D、GBD、ATCC、HYCLONE等二十多家国内外知名品牌,致力于为广大高校、科研院所和企业单位提供的科研试剂和完善的技术服务,满足生物化学、分子生物学 、细胞生物学、免疫学 ELISA试剂盒等生物科技实验需求。

上海信裕先后与天津中医学院、复旦大学、上海交通大学医学院、上海交通大学、华东师范大学、第二军医大学、南京大学,暨南大学,南京工业大学,曙光医院、华山医院、瑞金医院、上海有机研究所、中科院上海分院等多家单位建立了良好的合作关系。本公司可为您提供科研ELISA试剂盒,种属标本齐全,有专门针对人血清、血浆、全血、分泌物、尿液、细胞培养上清液、组织匀浆、组织液等标本的试剂盒;另有针对各种动物(鼠、兔、牛、马、鸡、猪、狗、山羊、猴、鱼)的科研试剂。

公司秉承“专注品质、信守承诺、积极沟通、创新服务”的企业文化积极参与生物领域的技术创新和技术服务,力求为我国科研事业,专业的服务!


其主营产品:ELISA试剂盒/人ELISA试剂盒/大鼠ELISA试剂盒/小鼠ELISA试剂盒/金标试剂盒/免疫组化试剂盒/标准品/科研抗体/生化试剂,生物培养基/细胞株/实验室耗材/动物血清等科研产品


展开

产品说明


 

1F8G5D6D2细胞冻存时使用的DMEM培养基,复苏时使用MEM培养基,第二天发现复苏不成功,细胞没有贴壁,我又重新离心之后加入DMEM培养基,请问大神对细胞有影响吗??之后是否可以贴壁生长?

资源名称 1F8G5D6D2
种属 小鼠7
形态 淋巴母细胞样
培养方法
培养基 RPMI1640(w/oHepes)10%FBS
生长特性 半贴壁生长

这两个培养基成分差距不大,大部分细胞换用应该没什么影响。1F8G5D6D2细胞复苏不贴壁的话可能是:1.冻存细胞有问题,比如冻存细胞状态不是很好,冻存降温过快等;2.复苏细胞有问题,比如融化速度过慢,离心时间和转速有问题;3.细胞本身特性,有些细胞贴壁很慢,过夜不一定会都贴壁,这种情况不动是的,再离心的话细胞贴壁只会更慢。

1F8G5D6D2细胞爬片的步骤:

1 什么是细胞爬片?其用途是什么?

2 细胞爬片的步骤是怎样的?

3 细胞爬片需要哪些实验材料和仪器?

细胞爬片就是让细胞(贴壁细胞)在片子(盖玻片)上生长。主要用来做免疫细胞化学啊,原位杂交等吧。在做这些实验时,制作标本有两种,一是离心做细胞涂片,二是细胞爬片。利用贴壁1F8G5D6D2细胞在玻璃等物质上贴壁生长的特点,让它在盖玻片上生长,可以使制作的细胞片子更牢固,在后面的洗涤过程中,不易脱落。特别是在用粘附剂如多聚赖安酸处理过的片子上,细胞贴得更牢固。

细胞爬片:将片子放在细胞培养板(均已经消毒)中,加入一定数量的细胞悬液,让它生长24小时。待它贴壁后,细胞爬片就制作好了。

需要的器材:多聚赖安酸、合适大小的盖玻片(根据细胞培养板孔大小而定)、细胞培养板、培养基。

 

6A8/6F10/1A6 鼠B淋巴瘤细胞系
A-204 [A204] 人横纹肌肉瘤细胞
ACC-M 人涎腺癌细胞
AGS 人胃腺癌细胞
ARH-77 人外周血淋巴细胞
B16-F1 小鼠黑色素瘤细胞
B207 小鼠杂交瘤细胞PTA-1626
B6y H4(支原体阳性株) 小鼠杂交瘤细胞
B82 小鼠肿瘤细胞系
BC3 胸膜积液B淋巴细胞
Bcap-37 人乳腺癌细胞
Bel-7402 人肝癌细胞
BGE1-L15B 昆虫细胞
CaES-17 人食管癌细胞
CCBR-SD
CCRF-SD 人外周血淋巴细胞
CHO-HCV-C 仓鼠卵巢癌细胞系/HCV-C
CHO-HCV-C 仓鼠卵巢癌细胞系/HCV-C
CHO-HCV-E1 仓鼠卵巢癌细胞系/HCV-E1




本页产品地址:http://www.geilan.com/sell/show-7034395.html
免责声明:以上所展示的[1F8G5D6D2 1F8G5D6D2细胞]信息由会员[上海信裕生物科技有限公司]自行提供,内容的真实性、准确性和合法性由发布会员负责。
[给览网]对此不承担任何责任。
友情提醒:为规避购买风险,建议您在购买相关产品前务必确认供应商资质及产品质量!

发布询价单

您最近浏览过的产品

没有合适的产品?是否在线询价?
询价标题
联系人
电话
主要内容
验证码