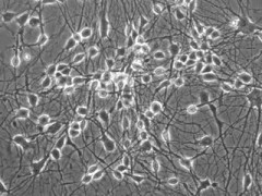
SK-NEP-1细胞形态,SK-NEP-1细胞培养

SK-NEP-1细胞形态,SK-NEP-1细胞培养,SK-NEP-1细胞形态,SK-NEP-1细胞培养,素尔生物细胞库携手知名单位,为您提供上万种类冻存细胞|复苏细胞|ATCC 细胞|细胞系|细胞株|肿瘤细胞|细胞|贴壁细胞|悬浮细胞|,细胞...
公司明星产品主要有:DC2.4细胞、RAW264.7细胞、COV434细胞、HO-8910细胞、A2780细胞、SK-OV-3细胞、OVCAR-3细胞、OVCA433细胞、HEK-293-6e细胞、FRO细胞、HEPG2.2.15细胞、HL-7702细胞、L-02细胞、M-ICC12细胞、143B细胞、HOS细胞、M4e细胞、M2e细胞、TU686细胞、TU212细胞、vero细胞、SW48细胞、SW480细胞、NCCIT细胞、B16-F10细胞、HK-1细胞、Hep2细胞、C666-1细胞、HNE1细胞、HNE1/DDP细胞、capan-1细胞、vero e6细胞、A375细胞、Hs294T细胞、HSC-LX-2细胞、LOVO细胞、MKN-28细胞、RL952细胞、Hela细胞、A549细胞、Ishikawa细胞、EBC-1细胞、H1993细胞、H1993细胞、Hep-2细胞、NCI-H441细胞、LS174T细胞、NCCIT细胞、capan-1细胞、Hep3B细胞、HUVEC细胞、SW116细胞等。
SK-NEP-1细胞形态,SK-NEP-1细胞培养 之角膜缘干细胞(原代培养):
吸弃培养液
少量pbs将细胞洗一遍
弃之
0.1%姨酶:0.02%EDTA(1:1)混合液1ml将细胞表面过一遍,弃之
0.1%姨酶:0.02%EDTA(1:1)混合液1ml加入培养瓶,置培养箱3~5分钟,看胞体变圆,用弯头吸管吹打瓶壁黏附的细胞
加DMEM+20%FBS混合液1ml终止消化
800转/分 离心 5分钟
弃上清
离心管中加入1mlPBS,将细胞吹打起来
800转/分 离心 5分钟
弃上清
加入DMEM+20%FBS混合液1ml将细胞吹打起来
细胞悬液装入培养瓶
置培养箱20分钟
倒置显微镜下可见部分干扰的成纤维细胞贴壁
吸出细胞悬液1:2分装新的培养瓶
注:加带血清的培养基终止消化后再吹打容易起泡沫,影响操作,因此选择边消化边吹打。消化完毕后,本人用胎盘兰染色证实90%细胞存活,说明此操作合适。
有的客户收到SERANA南美源胎牛血清问为什么血清那么红,南美血清本身是很红很红,血一样红,我见过很多公司的南美血清是很红,南美除了阿根廷之外,都是很红的,并且血红素也并不影响血清的质量。但是市面上有很多种仿货并不红,这就有问题了。如果一个客户现在还说,南美血清为何这么红的话,那老师有可能没买过的南美血清国产血清是蜡黄色。北美血清的颜色就没有这么红,颜色很淡,淡黄至微红。澳洲血清的血清介于南美和北美之间。更多血清小知识可以联系我们公司张老师:!
ATCC细胞|细胞培养技术|癌细胞|传代细胞|复苏细胞|国产细胞|进口细胞|人细胞株|冻存细胞|耐药株SK-NEP-1细胞形态,SK-NEP-1细胞培养
抗原抗体|动物疫病诊断试剂盒|酶免Elisa试剂盒
进口胎牛血清|Gibco血清|BOVOGEN血清|SERANA血清
ELISA方法被广泛应用于各种抗原和抗体测定。但ELISA测定中影响因素较多,而且其操作中有一定的技术要求,在检测过程中除正常反应外,有时常见到一些错误的结果。引起ELISA测定错误结果的原因主要有:①标本因素;②试剂因素;③操作因素。下面就一些常见ELISA操作过程中的问题一一分析。
1.样品稀释
酶联免疫反应是一种敏感性很高的反应,如果血清不稀释,不可避免会产生很强的非特异性反应,出现假阳性。因此,国外检测血清抗体的试剂盒,均规定将血清稀释至适当的倍数,以降低非特异性反应,使特异性的抗原抗体反应充分体现出来。一般产品的样品稀释倍数均通过大量试验确定,以保证试验的灵敏度和特异性。但是,有些用户未能严格按使用说明书操作,如某些产品应取10μl样品进行稀释,个别用户取5μl甚至1μl样品进行稀释,由于吸嘴上不可避免地沾有样品以及微量移液器的精度不够,因此造成样品稀释倍数不准确,检测结果出现问题。
2.试剂盒平衡
试剂盒中所有试剂和板条均应在试验前平衡至室温(约25℃),一般需在室温放置20~30分钟以上。平衡时间太短会造成试剂混匀不够,样品孵育时间相对缩短,ELISA反应不够充分。冬季室温低,可将试剂盒置37℃温箱20分钟。
3.样品和试剂的混匀
稀释前、后的样品必须充分混匀,所有试剂在加样前也须摇匀,以保证试验的均一性。
4.加样
在现在的ELISA商品试剂盒中,必然有使用微量加样器加入样本的步骤。注意的关键点是:加样不可太快,要避免加在孔壁上部,不可溅出和产生气泡。加样太快,无法保证微量加样的准确性和均一性。加在孔壁上部的非包被区,易导致非特异吸附。溅出会对邻近孔产生污染。出现气泡则反应液界面有差异。所以,有时候一份标本用相同的试剂盒这次测定为阳性,下次测定为阴性,往往就是上述加样及试剂的错误所致。
5.温育
温育是ELISA测定中影响测定成败为关键的一个因素。ELISA作为一种固相免疫测定,抗原抗体的结合反应在固相上进行,要使液相中的抗原或抗体与固相上的特异抗体或抗原完全结合,必须在一定的温度条件下反应一定的时间。温育所需时间与温度成反比,即温度越高,则所需时间相对较短。为常用的温育温度有37℃和室温,其次是43℃和2~8℃。一些操作者,擅自改变说明书操作,使用自己喜欢的温育时间和温育温度,这样造成一些不必要的麻烦。因为,不同试剂盒有不同的温育时间和温育温度的选择,随意更改温育时间或者温育温度将导致试验结果出现偏差。
6.洗板
固相免疫测定技术是一种非均相免疫测定技术,需以洗涤操作将特异结合于固相的抗原或抗体与反应温育过程中吸附的非特异成份分离开来,以保证ELISA测定的特异性。洗板对于ELISA测定来说,也是其关键的一步。洗液尽量不要溢出孔外;加洗液后要静置1分钟,甩去板孔中洗液后,一定要大力拍干;及时更换吸水纸,尤其是拍过酶标记物的吸水纸一定要弃去,否则可能影响试验结果。
7.边缘效应
使用96孔板的ELISA测定中,常发现有“边缘效应”,即外周孔显色较中心孔深。经研究证实在温育中的热力学梯度可能是根本原因之所。聚苯乙烯本身为不良热导体,在实验室的常规ELISA测定中,将板从室温(通常在25℃左右)置于37℃温箱,板也升温时,在外周孔与中心孔之间可能存在一热力学梯度。因此使用水浴或在将反应溶液加入至板孔中时,将板和溶液均加热至温育温度(如37℃),就可以很容易地排除“边缘效应”,并且可提高测定的重复性。
8.显色
显色一定要控制时间,根据试剂盒说明操作即可。一般来说,显色时间过短,结果偏低;显色时间过长,空白增高或者非特异性显色增加。
9.比色
比色要注意波长的选择。以TMB为底物和以OPD为底物的试剂盒均有使用,而前者比色波长为450nm,后者为492nm,滤光片需根据要求随时更换。因此,容易出现滤光片错用的问题。
其次,单波长或双波长比色选择的问题。所谓的单波长比色即是通常的以对显色具有zui大吸收的波长如450nm或492nm进行比色测定;而双波长双色则酶标仪在敏感波长如450nm和非敏感波长如630nm下各测定一次,敏感波上下的吸光度测定值为样本测定酶反应特异显色的吸光度与板孔上指纹、刮痕、灰尘等脏物所致的吸光度之和;非敏感波长下测定即改变波长至一定值,使得样本测定酶反应特异显色的吸光度值为零,此时测得的吸光度即为脏物的吸光度值。后酶标仪给出的数值为敏感波长下的吸光度值与非常感波长下的吸光度值的差。因此,双波长比色测定具有能排除由微滴板本身、板孔内标本的非特异吸收、指纹、刮痕、灰尘等对特异显色测定吸光度的影响的优点。由于ELISA测定中单个空白孔的非特异吸收上有一定程度的不确定性,也就是说每次测定或同次测定空白孔位置的不同均有可能得到不同吸光度测定值,故而在ELISA测定比色时,是使用双波长比色。
suer 35.1杂交瘤细胞抗CD2
suer 5637人膀胱癌细胞
suer MHCC97-L低转移人肝癌细胞
suer U-2 OS人骨肉瘤细胞
suer 16HBE人支气管上皮细胞
suer 22RV1人前列腺癌细胞
suer 293 [HEK-293]人胚肾细胞
suer 293 Cells, low passage人胚肾细胞
suer 293ebna人胚肾细胞
suer 293FT人胚肾细胞
suer 293-T人胚肾细胞
suer 2T3小鼠成骨细胞
suer 2V6.11人胚肾细胞
suer 3T3-L1小鼠胚胎成纤维细胞
suer 3T3-Swiss鼠胚胎成纤维细胞
suer 3T6-Swiss albino小鼠胚胎成纤维细胞
suer 4T1小鼠乳腺癌细胞
suer 5-8F人鼻咽癌细胞
suer 6-10B人鼻咽癌细胞
suer 6T-CEM人T细胞白血病细胞
suer 769-P人肾细胞腺癌细胞
suer 786-0人肾透明细胞腺癌细胞
suer 95-C人低转移肺癌细胞
suer 9-5D人高转移肺腺癌细胞
suer 95-D 人高转移肺癌
suer A172人胶质母细胞瘤细胞
suer A2780人卵巢癌细胞
suer A3人T淋巴细胞白血病细胞
suer A-375人恶性黑色素瘤细胞
suer A-431人表皮癌细胞
suer A498人肾癌细胞
suer A549人肺癌细胞
suer A-673人横纹肌瘤细胞
suer A7r5大鼠胸大动脉平滑肌细胞
suer A9小鼠皮下结缔组织细胞
suer AAV-293人胚肾细胞
suer ACC-2人涎腺腺样囊性癌细胞
suer ACC-3人腺样囊性癌
suer ACHN人肾透明细胞癌细胞
suer AE-1杂交瘤细胞抗AChE
suer AE-2杂交瘤细胞抗AChE
suer AGS人胃腺癌细胞
suer AN3CA人子宫内膜腺癌细胞
suer ANA-1小鼠巨噬细胞
suer ARO甲状腺癌细胞(未分化)
suer AsPC-1人转移胰腺腺癌细胞
suer ATT-20小鼠垂体瘤
suer B16小鼠黑色素瘤细胞
suer B16-F10小鼠皮肤黑色素瘤细胞
suer B95-8绒猴EBV转化的白细胞
suer BALB/3T3 clone A31小鼠胚胎成纤维细胞
suer Bcap-37人乳腺癌
suer BEL-7402人肝癌
suer BEL-7404人肝癌
suer BEL-7405人肝癌
suer Beta-TC-6小鼠胰岛素瘤胰岛β细胞
suer BGC-823低分化胃腺癌
suer BHK-21 [C-13]仓鼠肾成纤维细胞
suer BIU-87人膀胱癌细胞
suer BMSC人骨髓间充质干细胞
suer BNL CL.2小鼠胚胎肝细胞
suer BRL大鼠肝细胞
suer BRL 3A大鼠肝细胞
suer BT-20人乳癌
suer BT-325人脑多形性胶质瘤细胞
suer BT474人乳腺导管癌细胞
suer BT-549人乳腺管癌细胞
suer BxPC-3人原位胰腺腺癌细胞
suer C127小鼠乳腺肿瘤细胞
suer C200人卵巢癌
suer C26小鼠结肠癌
suer C2C12小鼠成肌细胞
suer C-33 A人子宫颈癌
suer C3H小鼠胚胎成纤维细胞
suer C6大鼠脑胶质瘤细胞
suer Ca Ski人宫颈癌肠转移细胞
suer Caco-2人结直肠腺癌细胞
suer CaKi-1人肾透明细胞癌细胞
suer CaKi-2人肾透明细胞癌细胞
suer CAL-27人舌鳞癌细胞
suer Calu-1人肺癌细胞
suer Calu-3人肺腺癌 (胸水)
suer Calu-6人退行性癌细胞
suer CaOV3人卵巢癌细胞
suer Capan1人胰腺癌细胞
suer Capan2人胰腺癌细胞
suer CaSki人宫颈肠转移癌细胞
suer CBRH-7919大鼠肝癌细胞
suer CCD-1095Sk人乳腺浸润性导管癌旁皮肤细胞
suer CCRF-CEM人急性淋巴细胞白血病T淋巴细胞
suer CEM/C1人急性淋巴细胞白血病细胞
suer CFPAC-1人胰腺癌细胞
suer Chang liver人张氏肝细胞
suer CHL仓鼠肺细胞
suer CHO仓鼠卵巢细胞
suer CHO/dhFr仓鼠卵巢细胞,二氢叶酸还原酶缺陷
suer CHO-K1仓鼠卵巢细胞亚株
suer CL1人前列腺癌
suer CCRF-CEM人鼻咽癌细胞
suer CNE-2人鼻咽癌细胞
suer COLO 205人结肠癌细胞
suer COLO 320DM人结直肠腺癌细胞
suer COLO-704人卵巢癌细胞
suer COLO720E人卵巢癌细胞
suer COS-1非洲绿猴SV40转化的肾细胞
suer COS-7非洲绿猴SV40转化的肾细胞
suer COV362人卵巢癌细胞
suer COV434人卵巢癌细胞
suer COV504人卵巢癌细胞
suer COV644人卵巢癌细胞
suer CRFK猫肾细胞
suer CRL-9444人膜间皮细胞
suer CT-26小鼠结肠腺癌细胞
suer CT26.WT小鼠结肠癌细胞
suer CTLA4 Ig-24仓鼠卵巢细胞
suer CTLL-2细胞毒性T淋巴细胞
suer CV-1 非洲绿猴肾细胞
suer CW-2人结肠腺癌细胞
suer D407人视网膜色素上皮细胞
suer D6人肺腺癌
suer Dami人巨核细胞白血病细胞
suer Daudi人Burkitt's淋巴瘤细胞
suer DC2.4小鼠树突状细胞
suer DH82狗肾恶性组织细胞增生症细胞
suer DLD-1人结直肠腺癌上皮细胞
suer DU145人前列腺癌
suer EA.hy926人脐静脉细胞融合细胞
suer EBTr (NBL-4)牛胚气管细胞
suer EC18人食管癌细胞
suer EC-9706人食管癌细胞
suer ECA小鼠艾氏腹水瘤细胞
suer ECA-109人食管癌细胞
suer ECV304人脐静脉内皮细胞
suer ED-25人肝静脉内皮细胞
suer EFO-21人卵巢癌细胞
suer EFO-27人卵巢癌细胞
suer EJ人膀胱癌细胞
suer EOMA小鼠血管瘤内皮细胞
suer ES-2人卵巢透明细胞癌
suer F81猫肾细胞
suer F9小鼠畸胎瘤细胞
suer FaDu人咽鳞癌细胞
suer FO小鼠骨髓瘤细胞
suer FRhK-4恒河猴胚肾细胞
suer GBC-SD人胆囊癌细胞
suer GES-1人胃黏膜上皮细胞
suer GLC82人低分化肺腺癌细胞
suer GRC-1人肾癌细胞
suer H128人小细胞肺癌
suer H1299人非小细胞肺癌
suer H22小鼠肝癌细胞
suer H292人肺癌细胞(淋巴结转移)
suer H460人大细胞肺癌细胞
suer H466人小细胞肺癌
suer H69人小细胞肺癌
suer H9c2(2-1)大鼠心肌细胞
suer Hacat人正常皮肤细胞
suer HBL-100人整合SV40基因的乳腺上皮细胞
suer HBZY-1大鼠肾小球系膜细胞
suer HCC94人子宫鳞癌细胞(高分化)
suer HCC1937人乳腺癌细胞
suer HCC827人非小细胞肺癌细胞
suer HCCC-9810人胆管细胞型肝癌细胞
suer HCCLM3人高转移肝癌细胞
suer HCCLMS人肝转移癌
suer Hce-8693人盲肠腺癌细胞(未分化)
suer HCE-8962人盲肠未分化癌
suer HCT 116人结肠癌细胞
suer HCT-15人结直肠腺癌细胞
suer HCT-8人回盲肠腺癌细胞
suer HEB人脑胶质细胞株
suer HEC-1-A人子宫内膜腺癌细胞
suer HEC-1-B人子宫内膜腺癌细胞
suer HEEC人食道上皮细胞
suer HEK293-L人胚肾细胞
suer HEK293-T人胚肾细胞
suer HEL人红白细胞白血病细胞
suer HELA人宫颈癌细胞
suer HeLa 229人宫颈癌细胞
suer hep 3B人肝癌细胞
suer Hep 3B2.1-7人肝癌细胞
suer Hep-2喉表皮样癌
suer Hep3B人肝癌
suer Hepa 1-6小鼠肝癌细胞
suer Hep G2人肝癌细胞
suer HepG2.2.15人肝癌细胞
suer HFL1人胚肺成纤维细胞
suer hFOB 1.19人SV40转染成骨细胞
suer HGC-27人胃癌细胞(未分化)
suer HHVEC肝瘤血管内皮细胞
suer HIC人小肠癌细胞
suer HK-2人肾小管上皮细胞
suer HKF人瘢痕疙瘩成纤维细胞
suer HL60急髓白血病细胞
suer HLamp人肺巨细胞癌细胞
suer HLEC人晶状体上皮细胞
suer HLF人胚肺
suer HMy2.CIR人B淋巴母细胞
suer HNE-1人鼻咽癌细胞
suer HNE-2人鼻咽癌细胞
suer HO-8910人卵巢癌
suer HONE-1人鼻咽癌细胞
suer HPAC人胰腺癌细胞
suer Hs 578T人乳腺癌细胞
suer Hs766T人胰腺癌细胞
suer HS77人小细胞肺癌
suer HSC人雪旺细胞
suer HSC-T6大鼠肝星形细胞
suer HT-1080人纤维肉瘤
suer HT29人结肠癌细胞系
suer HuH-6人肝母细胞瘤细胞
suer HUH-7人肝癌细胞
suer HuT 78人T淋巴细胞白血病细胞
suer Hut102人皮肤T细胞淋巴瘤
suer HUVEC- C人脐静脉血管内皮原代细胞
suer HUVEC-C人脐静脉血管内皮细胞株
suer IEC-18大鼠回肠细胞
suer IMR-32人神经母细胞瘤细胞
suer INS-1大鼠胰岛瘤细胞
suer Ishikeuva人子宫内膜癌细胞
suer J558L鼠骨髓瘤
suer J82人膀胱移行细胞癌
suer JAR人胎盘绒毛癌细胞
suer JEC人子宫内膜腺癌细胞
suer JEG 人绒癌细胞
suer JEG-3人绒毛膜癌细胞
suer JeKo-1人套细胞淋巴瘤细胞
suer Jurkat人急性T细胞白血病
suer Jurkat, Clone E6-1人T淋巴细胞白血病细胞
suer K562 人慢性髓原白血病细胞
suer K7M2-WT小鼠骨肉瘤成骨细胞
suer KB人口腔表皮样癌细胞
suer KG1a人髓系白血病细胞
suer KM-12人大肠癌细胞
suer KM202L人卵巢癌细胞
suer KP1人胰腺癌细胞
suer KP2人胰腺癌细胞
suer KP3人胰腺癌细胞
suer KP4人胰腺癌细胞
suer KP-N-NS人肾上腺神经母细胞瘤细胞(脑转移)
suer KU812人外周血嗜碱性白血病细胞
suer KURAMOCHI人卵巢癌细胞
suer kyse-140人食管癌细胞
suer Kyse450人食管癌细胞
suer KYSE-510人食管癌细胞
suer L Wnt-3A小鼠皮下结缔组织细胞
suer L-02人正常肝细胞
suer L1210小鼠白血病细胞
suer L5178Y 小鼠淋巴瘤细胞
suer L6大鼠成肌细胞
suer L6565小鼠白血病克隆细胞系
suer L78人肺腺鳞癌细胞
suer L929小鼠成纤维细胞
suer LAX人肺腺癌
suer Lec1仓鼠卵巢细胞
suer LECPα-1 人肺癌细胞
suer Lewis小鼠肺癌细胞
suer Li-7人肝癌细胞
suer LLC小鼠肺癌细胞
suer LLC-MK2恒河猴肾细胞
suer lncap人前列腺癌细胞
suer LNCaP clone FGC人前列腺癌细胞
suer LO2人正常肝细胞
suer LoVo人结肠癌细胞
suer LS-174-T人结肠腺癌细胞
suer LTEP-A2人肺腺癌
suer LX-2人肝星形细胞
suer MA-104恒河猴肾细胞
suer MC3T3-E1小鼠颅顶前骨细胞亚克隆14
suer MC3T3-E1 Subclone 14小鼠颅顶前骨细胞亚克隆14
suer MCF-10A人正常乳腺上皮细胞
suer MCF7 人乳腺癌细胞
suer MDA-MB-231人乳腺腺癌
suer MDA-MB-415人乳腺腺癌细胞
suer MDA-MB-435人乳腺癌高转移细胞
suer MDA-MB-435S人乳腺导管癌
suer MDA-MB-436人乳腺腺癌细胞
suer MDA-MB-453人乳腺癌细胞
suer MDA-MB-468人乳腺癌细胞
suer MDBK (NBL-1)牛肾细胞
suer MDCK狗肾细胞
suer MDCK(NBL-2)狗肾细胞
suer ME12人前列腺癌
suer ME-180人子宫颈表皮癌细胞
suer MEF小鼠胚胎成纤维细胞
suer MFC小鼠胃癌细胞
suer MG-63人骨头肉瘤细胞
suer MGC80-3人胃癌细胞
suer MHCC97-H高转移人肝癌细胞
suer Miapaca2人胰腺癌细胞
suer MKN-28人胃癌细胞
suer MKN-45人胃癌细胞
suer MLTC-1小鼠睾丸间质细胞瘤细胞
suer MNK-7人乳癌
suer MNNG/HOS Cl人骨肉瘤细胞
suer MOLT-4人急性淋巴母细胞白血病细胞
suer MR1仓鼠X小鼠B淋巴细胞杂交瘤
suer MRC-5人胚肺细胞
suer MS1小鼠胰岛内皮细胞
suer MS751人子宫颈表皮癌细胞
suer MSTO-211H人肺癌细胞株
suer Mv.1.Lu(NBL-7)貂肺上皮细胞
suer NAMALWA人Burkitt's淋巴瘤细胞
suer NCI-H1299人非小细胞肺癌细胞
suer NCI-H1395人肺腺癌细胞
suer NCI-H1650人非小细胞肺癌细胞
suer NCI-H1975人肺腺癌细胞
suer NCI-H2452人间皮瘤细胞
suer NCI-H292人肺癌细胞(淋巴结转移)
suer NCI-H358人非小细胞肺癌细胞
suer NCI-H446人小细胞肺癌细胞
suer NCI-H460人大细胞肺癌细胞
suer NCI-H661人大细胞肺癌细胞
suer NCI-H716人结直肠腺癌细胞
suer NCI-N87人胃癌细胞
suer NCTC clone 929小鼠成纤维细胞
suer Neuro-2a小鼠脑神经瘤细胞
suer NIH/3T3小鼠胚胎细胞
suer NIH-3T3-L1小鼠胚胎成纤维细胞(前脂肪)
suer NIT-1β小鼠胰岛素瘤β细胞
suer NP69人永生化鼻咽上皮细胞系
suer NR8383大鼠肺泡巨噬细胞
suer NRC-5人胚肺
suer NRK大鼠肾细胞
suer NRK-52E大鼠肾细胞
suer OC3人卵巢癌细胞株
suer OK负鼠肾细胞
suer OKT 11杂交瘤细胞抗CD2
suer OKT 3杂交瘤(抗CD3)
suer OP9小鼠骨髓基质细胞
suer OS-RC-2人肾癌细胞
suer OV56人卵巢癌细胞
suer OV90人卵巢癌细胞
suer OVCAR3人卵巢癌细胞
suer OVCAR4人卵巢癌细胞
suer OVISE人卵巢癌细胞
suer OVSAHO人卵巢癌细胞
suer OVTOKO人卵巢癌细胞
suer P19小鼠畸胎瘤细胞
suer P3/NSI/1-Ag4-1 [NS-1]小鼠骨髓瘤细胞
suer P388小鼠淋巴样瘤
suer P388D1小鼠淋巴样瘤细胞
suer P3X63Ag8小鼠骨髓瘤细胞
suer P3X63Ag8.653小鼠骨髓瘤细胞
suer p69前列腺癌
suer P815小鼠肥大细胞
suer PA317小鼠胚胎成纤维细胞
suer PANC-1人胰腺癌细胞
suer PC 61 5.3 [PC 61; PC 61.5.3]杂交瘤细胞CD25
suer PC-12大鼠嗜铬细胞瘤
suer PC-12(低分化)大鼠肾上腺嗜铬细胞瘤细胞(低分化)
suer PC-12(高分化)大鼠肾上腺嗜铬细胞瘤细胞(高分化)
suer PC-12(未分化)大鼠肾上腺嗜铬细胞瘤细胞(未分化)
suer PC-13人前列腺癌
suer PC-3 人前列腺
suer Phix-293T人胚肾细胞(Ad5DNA化)
suer PIEC猪髋动脉内皮细胞
suer PK136小鼠X小鼠
suer PK-15猪肾细胞
suer PLC/PRF/5人肝癌亚力山大细胞
suer Psi2 DAP小鼠胚胎成纤维细胞
suer PSN1人胰腺癌细胞
suer Pt K1 (NBL-3)袋鼠肾细胞
suer QCY-7703人肝癌细胞
suer QGY-7701人肝癌细胞
suer QGY-7703人肝癌
suer QGY-Q3*人肝癌
suer R 1610仓鼠肺细胞
suer R15大鼠肝癌
suer RAG小鼠肾腺癌细胞
suer Raji人Burkitt's淋巴瘤细胞
suer RAW264.7小鼠单核巨噬细胞白血病细胞
suer RBE人肝胆管癌细胞
suer RBL-2H3大鼠嗜碱性细胞白血病细胞
suer RD人恶性胚胎横纹肌瘤细胞
suer Reh人急性非B非T淋巴细胞白血病
suer Renca小鼠肾癌细胞
suer RF/6A猴脉络膜-视网膜(内皮)细胞
suer RH-35大鼠肝癌细胞
suer RIN-m褐鼠胰岛素瘤上皮细胞
suer RKO人结肠腺癌细胞
suer RKO-AS45-1人结肠癌转基因细胞
suer RKO-E6人结肠癌转基因细胞
suer RL95-2人子宫内膜癌细胞
suer RM-1小鼠前列腺癌细胞
suer RSC96大鼠雪旺细胞
suer RT4人膀胱移行细胞乳头瘤细胞
suer RWPE-1人正常前列腺上皮细胞
suer rwpe2人前列腺正常细胞
suer S-180小鼠腹水瘤细胞
suer Saos-2人成骨肉瘤细胞
suer ScaBER人膀胱鳞癌
suer SCC-25 人舌癌细胞
suer SF-268人神经癌细胞
suer SF-295人XG恶性胶质瘤细胞
suer SGC7901人胃腺癌细胞
suer SHG-44脑胶质瘤
suer SH-SY5Y人神经母细胞瘤细胞
suer SHZ-88大鼠乳腺癌细胞
suer SiHa人子宫颈鳞癌细胞
suer SK-BR-3人乳腺癌细胞
suer SK-HEP-1人肝癌细胞
suer SK-MES人肺鳞癌细胞
suer SK-MES-1人肺鳞癌细胞
suer SKMG4人胶质瘤细胞
suer SK-N-BE(2)人神经母细胞瘤细胞
suer SK-NEP-1人肾母细胞瘤细胞
suer SK-N-SH人神经母细胞瘤细胞
suer SK-OV-3人卵巢癌细胞
suer SKRC39人肾乳头状细胞癌细胞
suer SMMC-7721人肝癌细胞
suer SP2/0 小鼠骨髓瘤细胞
suer SPC-A-1人肺腺癌细胞
suer SUNE1人鼻咽癌细胞
suer SUP-B15人Ph+急淋白血病细胞系
suer Super Tube狗肾细胞
suer SV40 MES 13小鼠肾小球系膜细胞
suer SV-HUC-1人输尿管上皮永生化细胞
suer SW 1353人软骨肉瘤细胞
suer SW 780人膀胱移行细胞癌
suer SW 982人滑膜肉瘤细胞
suer SW038-C2人脑胶质母细胞瘤细胞
suer SW1116人结肠癌细
suer SW-13人肾上腺皮质小细胞癌细胞
suer SW-1573人非小细胞肺癌
suer SW1990人胰腺癌细胞
suer SW403人结肠癌细胞
suer SW480人结肠腺癌细胞
suer SW579人甲状腺鳞癌细胞
suer SW620人结肠癌细胞
suer SW626人卵巢癌细胞
suer T-24人膀胱移行细胞癌细
suer T47-D乳腺管癌
suer PC-9人肺腺癌细胞
suer T84人结肠腺癌肺转移细胞
suer Tca-8113人舌鳞癌细胞
suer TE-1人食管癌细胞
suer THP-1单核细胞瘤
suer TM3小鼠睾丸间质细胞
suer TOV-112D人卵巢癌细胞
suer TOV-21G人卵巢癌细胞
suer TSCCA人舌鳞癌细胞
suer TT人甲状腺导管癌细胞
suer U-118 MG人脑星形胶质母细胞瘤
suer U-2 OS人骨肉瘤细胞
suer U226人骨髓瘤细胞
suer U251人脑星形胶质瘤细胞
suer U266骨髓瘤细胞株
suer U87人脑胶质瘤细胞
suer U-87 MG人脑星形胶质母细胞瘤
suer U937 人组织细胞淋巴瘤细胞
suer UMNSAH/DF-1鸡胚成纤维细胞
suer UMR-106大鼠骨肉瘤细胞
suer UM-UC-3人膀胱移行细胞癌
suer V79仓鼠肺细胞
suer VERO非洲绿猴肾细胞
suer VX2兔肝癌细胞
suer Walker-256大鼠肝癌细胞
suer WERI-Rb-1人视网膜神经胶质瘤细胞
suer WI-38人胚肺细胞
suer WiDr人大肠癌细胞
suer WISH人羊膜细胞
suer WPMY-1人正常前列腺基质永生化细胞
suer Y1小鼠肾上腺皮质瘤细胞
suer Y3-Ag 1.2.3大鼠骨髓瘤细胞
suer Yac-1小鼠淋巴瘤细胞
suer ZR-75-1人乳腺癌细胞
suer ZR-75-30人乳腺癌细胞
如果您觉得“SK-NEP-1细胞形态,SK-NEP-1细胞培养”描述资料不够齐全,请联系我们获取详细资料。(联系时请告诉我从给览网看到的,我们将给您最大优惠!)
本页链接:http://www.geilan.com/com_suer2013/sell/itemid-6045827.html
已经有1438位访客查看了本页.







