| 提交询价信息 |
| 发布紧急求购 |
价格:电议
所在地:上海
型号:
更新时间:2024-09-23
浏览次数:1352
公司地址:上海市宝山区联泰路63号
![]()
王丽(女士)
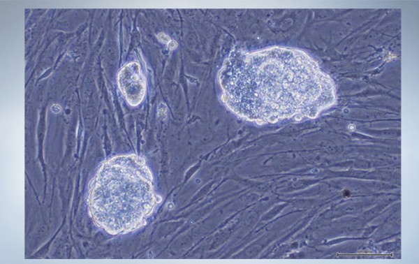
奥林巴斯倒置显微镜CKX53具有成像质量高、易于操作的特点,对于诸多细胞培养需求,例如活细胞观测、细胞取样和处理、图像捕捉以及荧光观测来说,奥林巴斯Olympus CKX53可以提供稳定的性能并且提高细胞培养过程的效率。
活细胞观测
获得高清晰度、重现性好、高对比图、宽视野的图像,奥林巴斯倒置显微镜CKX53的长寿命LED和iPC系统让这一切成为了可能。此外,新开发的反向对比(IVC)技术可以提供清晰的三维视图。

细胞采样与处理
由于奥林巴斯CKX53的小尺寸和轻量化设计,它的工作台环境干净清洁,可以提供更容易、更有效的细胞取样过程。面向用户的设计理念和简单的操作和手动阶段,能够较大限度地提高性能和可用性。

图像捕捉
由于配备了标准化的相机端口,奥林巴斯CKX53可以很好地与Olympus相机匹配,从而使得用户可以在光亮环境、相对比、新出现的反向对比以及荧光成像模式下快速获得清晰的图像。
荧光观测
在使用奥林巴斯CKX53进行荧光观测时,可以通过改变mirror unit 使用多种不同的荧光染料。随着荧光反射镜mirror unit单元的滤波能力的提高,即使在荧光相对较弱的情况下,也可以获得高的对比度、高S/N比例的荧光图像。此外,借助CKX53的100W水银灯可以获得清晰明亮的荧光观测。

活细胞观测
通过集成相位对比(iPC)系统实现快捷而的观测
奥林巴斯CKX53 IPC系统可以快速的获得高对比度的清晰图像,而无需将物镜从4X转换到40X。为了实现快速的细胞培养操作来进行简便而的细胞观测成为了可能。
长寿命LED 灯源可以提供清晰的成像
由于寿命比卤素灯长,因此CKX53的节能LED光源能够在整个视场内提供可靠的色彩再现性以及清晰统一的、视场数(FN)为22的图像。CKX53的节能特性确保了可以获得清晰而稳定的成像。
在整个视野内获得清晰的成像
通过2X目镜可以获得宽广而清晰的成像
PLN2X 物镜的环状光阑CKX-SLPAS,具有直径为11mm的22mm视场。因此,使用目镜可以获得目标细胞的有效成像,从而加快细胞培养过程。此外,2X目镜能够提供更高的对比度,甚至能够清楚的观测到样品中的透明目标。
通过“反向对比”(IVC)技术体验3D成像
ICV技术中的景深比相位对比中的景深要窄,将这种新开发的IVC技术运用在CKX53上,就可以获得任何形状物体清晰的三维图像,即使是透明的物体。此外,IVC观测可以提供清晰的视野,没有晕轮或阴影,在观测过程中维持目标物体信息的完整性。
*这种新的IVC观测需要用到10X 物镜(PLCN10X,CACHN10XIPC)。
Reference: Y. Suzuki et al., Method for observing phase objects without halos
or directio
当观测96-微孔板时,由于视场足够大,因此可以在一个微孔中可以观测到所有细胞而不必移动工作台。
面向用户的设计可以实现的细胞采样和处理
无菌条件下流畅的细胞观测
由于遮罩位于底部,因此CKX53很适合在洁净的工作台环境使用,这样就可以在完全无菌的条件下进行细胞处理。奥林巴斯CKX53涂有抗紫外线涂层,因此也可以放在洁净工作台上进行紫外线杀菌。与以往的CKX模块相比,CKX53重约7公斤,底座也更小。只需要一只手就可以轻松的移动它,如握住观察筒颈部将其提起,或者利用显微镜底部的滑垫来移动它。
在洁净工作台环境中采样更加便捷
由于CKX53的光轴/焦旋钮与观察点之间距离缩短了,因此可以很自然的进行手动调节,从而使聚焦和细胞采样变得更加容易。此外,由于CKX53开启后马上就可以采用全LED照明,因此可以减少用户的操作量,细胞的采样和处理可以在更短的时间内完成。
操作简单流畅,符合人体工学
无论是站着还是坐着进行观测,45度的光线进入角度以及工作台上蝴蝶形的观测筒的放置,使得细胞观测过程更加符合人体工程学。无菌操作可以快速地启动和完成,从而使得细胞可以在更短的时间内返回到培养箱中。此外,电源开关就放置在工作台上观测筒的正下方。操作部件,例如开关和调节光路的旋钮,彼此近距离放置,提高了奥林巴斯CKX53的易操作性
适用于任何类型的细胞培养容器
通过使用奥林巴斯CKX53的通用载物台,可以方便的观测各种容器中培养的细胞,例如培养皿、微孔板和烧瓶。此外,当使用可调换载物台时,工作台上至多可以同时容纳三个35毫米直径的培养皿。
观测微孔板时可以不使用载物台,微孔板独特的“外表”使得它可以很容易的在CKX3-MVR手动工作台上通过网格来辨认。当观测96-孔板时,工作台旋钮每转动90度,微孔就移动一格,从而可以在观测过程中直观的操控微孔板。
可以对多层细胞培养瓶进行综合观测
由于CKX53宽度允许,当移除聚光镜时可以观察诸如多层细胞培养瓶等的至高190mm的容器。此外,还可以将标本提高到19mm,从而来利用 UPLFLN4XIPC物镜来观测底下两层的多层细胞培养瓶中的细胞。
可以使用多种不同的容器
手动放置培养容器时,可以轻松的提起载物台。此外,工作台可以向左或向右至多平移70mm,这提高了操作的弹性。
荧光观测
利用多种不同的荧光染料可以实现清晰的观测
有了奥林巴斯CKX53标准荧光set系统,即使微弱的荧光信号也可以借助集成100W 汞灯(U-LH100HG)实现清晰的观测。与IX3和BX3类型相同的镜片单元可以设置在镜片单元滑块的三处不同的位置。同样,对于多种不同的荧光染料来说,根据用户的需求可以实现与line倒置显微镜同等级别的观测质量。与先前的CKX模块相比,荧光镜单元具有更高的滤光能力,因此可以得到更高对比度的图像。
明亮条件下对比度高
CKX53专门设计了“屏蔽罩”来进行荧光观测。它可以有效的屏蔽室内光线,提高荧光的对比度,即使在明亮的条件下也可以进行清晰的荧光观测。当使用相位对比模式时,屏蔽罩可以提起使光线照射到样品上。
细胞培养过程中的其他可选产品
随时可以进行清晰的图像捕捉
CKX53的标准配置中带有一个相机端口。当与DP22一起使用时,它的软件带有一种“细胞培养模式”的功能,该功能可以为细胞培养样品捕捉适当的色彩,这样CKX53就可以快速的捕捉高质量的清晰图像了。将CKX53与其他带有C类镜片的相机结合起来使用可以实现更多的功能。
细胞计数模块R1使得的细胞培养流成为可能
|
察方法 |
荧光(蓝/绿激发) |
√ |
||
|
荧光(紫外激发) |
√ |
|||
|
相衬 |
√ |
|||
|
Observation Method |
Inversion Co |
√ |
||
|
观察方法 |
明场 |
√ |
||
|
Illuminator |
Transmitted Illuminator |
LED Lamp |
√ |
|
|
照明器 |
荧光照明器 |
汞灯 |
√ |
|
|
光导照明 |
√ |
|||
|
物镜转换器 |
手动 |
标准型 |
内置 4孔位 |
|
|
载物台 |
机械的 |
平板载物台 |
√ |
|
|
聚光镜 |
手动 |
超长工作距离聚光镜 |
NA 0.3/ W.D. 72 mm (内置) |
|
|
镜筒 |
宽视场(FN22) |
三目镜筒 |
√ |
|
|
外形尺寸 |
200 (W) x 498 (D) x 454 (H) mm (Phase Co |
|||
|
重量 |
约 6.9 kg |
|||
|
操作环境 |
室内使用 |
环境温度 |
5 - 40 ºC (41 - 104 ºF) |
|
|
相对湿度 |
80% 温度达31℃ (88℉)时, 70% 温度达34℃(93℉)时 , 60% 温度达37℃(99℉)时, 50% 温度达40℃(104℉)时 |
|||
免责声明:以上所展示的[ 奥林巴斯倒置显微镜CKX53]信息由会员[上海通灏光电科技有限公司]自行提供,内容的真实性、准确性和合法性由发布会员负责。