提交询价信息
发布紧急求购
您好,欢迎来到给览网!手机版|本站服务|添加收藏|帮助中心
您所在的位置: 给览网 » 供应 » 实验室常用设备 » 生物试剂 » 50次量/200次量 细菌基因组DNA提取试剂盒(柱纯化)

50次量/200次量 细菌基因组DNA提取试剂盒(柱纯化)

上海同科生物科技有限公司
会员指数: 企业认证:

价格:电议

所在地:上海

型号:50次量/200次量

更新时间:2017-10-31

浏览次数:849

公司地址:上海市杨浦区赤峰路65号同济科技园709室

孟小姐(女士) 市场推广 

产品简介

细菌基因组DNA提取试剂盒价格|同科生物 提供分子克隆领域所需全线产品,包含基因重组/克隆、电泳检测、核酸提取/纯化、PCR/qPCR/RT-PCR以及细胞因子等系列产品,各类产品均得到客户高度认可,且反馈良好。

公司简介

 上海同科生物科技有限公司成立于2007年,是一家集研发、生产、销售和技术服务于一体专注于生命医学和生物技术领域的高科技企业。

同科生物专注现代生物医药健康产业,抓住中国生命医学研究和临床诊断市场快速发展的巨大机遇,战略性地覆盖研发生产、分销及终端等医疗健康产业链的多个重要环节,形成了以创新性生物药以及重要制剂研发生产为核心,同时在试剂流通和医疗服务领域拥有竞争优势的专业生物企业。

同科生物注重创新研发,拥有市级工程技术研发中心,依托院士、国家千人计划人才为导师顾问的高效的国际化研发团队,使得公司的核心研发产品在生命医学研究及临床诊断细分市场占据领先地位。

同科生物奉行可持续发展的原则,将社会责任纳入到企业发展的长期战略中。在企业的经营发展过程中,同科生物始终怀着感恩共享的心态,努力做一个让社会、客户、员工和股东满意的企业。

内外兼修、卓越致远。面向未来,以“同科向前,何胜不有!” 为拼搏奋进的驱动力,不断提高创新能力、服务能力以及整合能力,高效运营,以成为一家在全球生命医学领域里面提供卓越产品和服务的受人尊敬的企业。

展开

产品说明

细菌基因组DNA提取试剂盒价格|同科生物 提供分子克隆领域所需全线产品,包含基因重组/克隆、电泳检测、核酸提取/纯化、PCR/qPCR/RT-PCR以及细胞因子等系列产品,各类产品均得到客户高度认可,且反馈良好。

产品名称:细菌基因组DNA提取试剂盒(柱纯化法)

英文名称:Bacteria Genomic DNA Extraction Kit

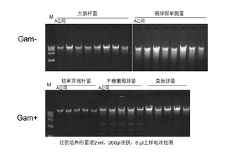
产品描述:本试剂盒是专门用于提取各种革兰氏阴性/阳性细菌的基因组DNA的小量纯化试剂盒。采用溶菌酶和独特的细胞裂解体系,通过蛋白酶K消化,使基因组DNA释放出来,由特异性结合DNA的硅基质吸附纯化DNA,除去杂质蛋白及有机化合物得到高纯度的基因组DNA。

产品编号

产品规格

价格

TK06033

50次量

¥460

TK06037

200次量

¥1600

细菌基因组DNA提取试剂盒价格|同科生物 产品特点:本试剂盒从109~2×109个细胞中,约0.5~2 mL 过一夜培养的菌液中可以抽提到5~20µg 的高纯度基因组DNA,OD260/OD280比值一般为1.8-2.0 之间,可直接用于分子生物学各种常规实验,包括酶切、测序、PCR、SouthernBlot等实验。

应用举例:用于提取各种革兰氏阴性/阳性细菌的基因组DNA的小量纯化试剂盒。约0.5~2mL过一夜培养的菌液中可以抽提到5~20µg的高纯度基因组DNA。

细菌基因组DNA提取试剂盒价格|同科生物 常见问题解析:

1. 基因组得率低、提取的基因组降解样品量不宜过多。样品过多会导致裂解不充分,溶液为浑浊状可延长溶菌酶的作用时间、适当增加溶菌酶浓度和溶液的量或分成多份进行提取。裂解不充分可能会阻塞纯化柱。

提取的样品要新鲜菌液或及时收集于-80℃保存。

BufferW1和BufferW2中确定加入无水乙醇。

2. 提取的基因组反应性能低

在洗脱前纯化柱应室温放置2-5min,使残留乙醇彻底挥发。

洗脱时溶液滴加在膜中央处,不要接触管壁。

同科生物简介:成立于2007年,是一家集研发、生产、销售和技术服务于一体专注于生命医学和生物技术领域的高科技企业。主营业务有科研产品、诊断试剂、分子诊断和技术服务等,主要服务于科研机构、大专院校、医院和工业等客户。

生产科研:同科生物搭建多个研发与合作技术平台(博士后实践基地、院士工作站、同济大学人才培养与产学研合作基地及生物医药研究中心等),为技术创新提供了坚实的基础保障。拥有三类体外试剂生产中心、仪器生产中心、研发质检实验室等、厂房和实验面积达8000多平米,仪器设备设施齐全(包括定量PCR仪、生物安全柜、核酸蛋白测定仪、高压细胞破碎仪、FPLC等系列高端仪器设备)。

研发团队:同科拥有一支由中科院院士为顾问,千人为科学家,以博士硕士为主体的的化研发团队。研发人员专业涵盖生物化学、分子生物学、临床医学、免疫学、药物制剂、生物技术、遗传学、微生物学、生物工程领域,关联性较大,专业结构合理,且形成互补,在重大项目及关键技术上具备的攻关能力。

仓储物流:在布局多个仓储基地,货品齐全,发货,及时给力!

技术支持:专业的技术团队,及时的技术指导,协助客户解决实验难题,愿意与您建立长期的合作关系。


本页产品地址:http://www.geilan.com/sell/show-6852779.html
免责声明:以上所展示的[50次量/200次量 细菌基因组DNA提取试剂盒(柱纯化)]信息由会员[上海同科生物科技有限公司]自行提供,内容的真实性、准确性和合法性由发布会员负责。
[给览网]对此不承担任何责任。
友情提醒:为规避购买风险,建议您在购买相关产品前务必确认供应商资质及产品质量!

发布询价单

没有合适的产品?是否在线询价?
询价标题
联系人
电话
主要内容
验证码