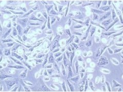
OVISE细胞,OVISE细胞株,OVISE细胞系

OVISE细胞,OVISE细胞株,OVISE细胞系,上海素尔生物科技有限公司致力于生物医药领域的技术研发与生物试剂的销售,力求为广大生物科技研究者提供优质快捷的贴心服务。公司集研发、销售、实验室技术服务于一...
OVISE细胞,OVISE细胞株,OVISE细胞系,上海素尔生物科技有限公司致力于生物医药领域的技术研发与生物试剂的销售,力求为广大生物科技研究者提供优质快捷的贴心服务。公司集研发、销售、实验室技术服务于一体,并以多家欧美研究平台的技术实力为依托,向市场提供品质价格的超值服务,专业提供实验所需的各类细胞株,因子,抗体等多种生物试剂。公司细胞主要来源ATCC、ECACC、DSMZ、JCRB、Sciencell等,以及少数外大学建系。轻小利,重品质。避浮夸,求务实。您的满意,将是我们不懈的追求。竭诚欢迎广大生物科技研究老师,前来咨询合作。
OVISE细胞,OVISE细胞株,OVISE细胞系 常见问题及解决办法:
1)对于生长缓慢的贴壁细胞:可采用适当的提高培养基中血清浓度,或隔日换液的方法来保证细胞的状态和生长速度。
2)对于生长不均的贴壁细胞:在培养过程中若出现细胞分布明显不均时(即某一区域细胞已重叠生长,而旁边则为一块空白),此时可将细胞进行消化,重新打散,贴壁,加入新培养基进行培养。
3)细胞漂浮:培养瓶不开封,瓶口酒精擦拭后平躺放置在培养箱。次日观察,如细胞大部分又贴回瓶底,表明细胞活力正常,剩余漂浮的细胞可以离心去掉,留10ml培养液培养观察,细胞生长至汇合度80%,进行消化传代;如细胞还是不贴壁,将细胞离心收集转到新培养瓶,原培养瓶加部分培养液继续培养,中间注意观察,我们的技术人员会一直跟踪指导,直到问题解决。
OVISE细胞,OVISE细胞株,OVISE细胞系 之细胞消化不下来原因:
1)有可能是你的培养液没有去除干净,因为培养液可以中止消化。所以建议用PBS冲洗两次。然后再加EDTA.
2)加大EDTA的浓度 ,可以选择0.1%与trypsin混合使用,加大以上溶液的体积,可以用2ml。
3)37度温度要够。
4)实时查看,当看到镜下细胞折光度有改变,就是有作用,然后用培养液将细胞冲洗下来。
5)用冰D-Hank's液洗细胞两次;
6)用刚解冻的冷的胰酶(注意不要37度孵育)1-2ml/100ml的培养瓶,开过口的和时间长的都不用。
免疫共沉淀(co-immunoprecipitation)是以抗体和抗原之间的专一性作用为基础的用于研究蛋白质相互作用的经典方法。是确定两种蛋白质在完整细胞内生理性相互作用的有效方法。
原理:
当细胞在非变性条件下被裂解时,完整细胞内存在的许多蛋白质-蛋白质间的相互作用被保留了下来。如果用蛋白质x的抗体免疫沉淀x,那么与x在体内结合的蛋白质y也能沉淀下来。这种方法常用于测定两种目标蛋白质是否在体内结合;也可用于确定一种特定蛋白质的新的作用搭档。
优点:
(1)相互作用的蛋白质都是经翻译后修饰的,处于天然状态;
(2)蛋白的相互作用是在自然状态下进行的,可以避免人为的影响;
(3)可以分离得到天然状态的相互作用蛋白复合物。
缺点:
(1)可能检测不到低亲和力和瞬间的蛋白质-蛋白质相互作用;
(2)两种蛋白质的结合可能不是直接结合,而可能有第三者在中间起桥梁作用;
(3)必须在实验前预测目的蛋白是什么,以选择后检测的抗体,所以,若预测不正确,实验就得不到结果,方法本身具有冒险性。
注意的问题:
(1)细胞裂解采用温和的裂解条件,不能破坏细胞内存在的所有蛋白质-蛋白质相互作用,多采用非离子变性剂(NP40或Triton X-100)。每种细胞的裂解条件是不一样的,通过经验确定。不能用高浓度的变性剂(0.2%SDS),细胞裂解液中要加各种酶抑制剂。
(2)使用明确的抗体,可以将几种抗体共同使用。
(3)使用对照抗体:
单克隆抗体:正常小鼠的IgG或另一类单抗
兔多克隆抗体:正常兔IgG
在免疫共沉淀实验中要保证实验结果的真实性,应注意以下几点:
(1)确保共沉淀的蛋白是由所加入的抗体沉淀得到的,而并非外源非特异蛋白,单克隆抗体的使用有助于避免污染的发生。
(2)要确保抗体的特异性,即在不表达抗原的细胞溶解物中添加抗体后不会引起共沉淀。
(3)确定蛋白间的相互作用是发生在细胞中,而不是由于细胞的溶解才发生的,这需要进行蛋白质的定位来确定。
OVISE细胞,OVISE细胞株,OVISE细胞系 细胞株状态良好,饱满,光泽度好,活力强,传代次数少,价格优惠,详细关于CHO-K1细胞价格|培养条件|来源|生长状态|细胞形态|特征特性等致电:!
更多优惠产品:
suer Caco-2人结直肠腺癌细胞
suer CaKi-1人肾透明细胞癌细胞
suer CaKi-2人肾透明细胞癌细胞
suer CAL-27人舌鳞癌细胞
suer Calu-1人肺癌细胞
suer Calu-3人肺腺癌 (胸水)
suer Calu-6人退行性癌细胞
suer CaOV3人卵巢癌细胞
suer Capan1人胰腺癌细胞
suer Capan2人胰腺癌细胞
suer CaSki人宫颈肠转移癌细胞
suer CBRH-7919大鼠肝癌细胞
suer CCD-1095Sk人乳腺浸润性导管癌旁皮肤细胞
suer CCRF-CEM人急性淋巴细胞白血病T淋巴细胞
suer CEM/C1人急性淋巴细胞白血病细胞
suer CFPAC-1人胰腺癌细胞
suer Chang liver人张氏肝细胞
suer CHL仓鼠肺细胞
suer CHO 仓鼠卵巢细胞
suer CHO/dhFr仓鼠卵巢细胞,二氢叶酸还原酶缺陷
suer CHO-K1仓鼠卵巢细胞亚株
suer CL1人前列腺癌
suer CCRF-CEM人鼻咽癌细胞
suer CNE-2人鼻咽癌细胞
suer COLO 205人结肠癌细胞
suer COLO 320DM人结直肠腺癌细胞
suer COLO-704人卵巢癌细胞
如果您觉得“OVISE细胞,OVISE细胞株,OVISE细胞系”描述资料不够齐全,请联系我们获取详细资料。(联系时请告诉我从给览网看到的,我们将给您最大优惠!)
本页链接:http://www.geilan.com/com_suer2013/sell/itemid-6045315.html
已经有953位访客查看了本页.






