CFSC-2G细胞价格大鼠肝星形细胞株说明书

CFSC-2G细胞价格大鼠肝星形细胞株说明书;素尔提供400多种类细胞株细胞,进口来源,传代次数少,保证来源,QC鉴定后出库,另提供定制耐药细胞、细胞染色、STR鉴定等服务,热卖细胞:肝癌细胞、肺癌细胞、乳腺癌...
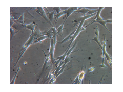
【产品名称】大鼠肝星形细胞株
【细胞代号】CFSC-2G细胞
【生长状态】贴壁生长
【细胞形态】上皮细胞样
【库存状态】现货
【运输形式】复苏活细胞或冻存细胞
【复苏意义】细胞复苏是将休眠的细胞重新活化,使之重新生长进入细胞周期,进而分裂产生子细胞,重新获得细胞类型特异的生物学功能。
CFSC-2G细胞价格大鼠肝星形细胞株说明书;素尔出售400多种类细胞株细胞系,进口来源,传代次数少,保证来源,QC鉴定后出库,另提供定制耐药细胞、细胞染色、STR鉴定等服务,热卖细胞:肝癌细胞、肺癌细胞、乳腺癌细胞、卵巢癌细胞、黑色素瘤细胞、癌细胞、传代细胞,正常细胞,原代细胞等,囊括品牌:ATCC、Sciencell、NBRC、NRRL、CBS、KCTC、DSMZ、UKNCC、NCIMB、BCRC等。
本公司所出售的细胞仅供科研使用,不得用于临床诊断
注意,新复苏的细胞不要经常去看去动。
换液的话,只要把培养基吸出,再加入新的培养基就可以了
如果复苏的细胞长得很不均匀,可以胰酶消化下来再混匀后在重新加进去(像正常细胞一样做)
专业细胞库-素尔生物(部分产品):
PT67细胞价格逆转录酶病毒包装细胞株说明书 进口细胞传代复苏技术服务|小鼠杂交瘤细胞培养技术服务|杂交瘤细胞培养技术服务 素尔细胞库服务好,价格优惠
Tb 1 Lu细胞价格蝙蝠肺细胞株说明书 进口细胞传代复苏技术服务|小鼠杂交瘤细胞培养技术服务|杂交瘤细胞培养技术服务 素尔细胞库服务好,价格优惠
NCI-H929 细胞价格人骨髓瘤细胞株说明书 进口细胞传代复苏技术服务|小鼠杂交瘤细胞培养技术服务|杂交瘤细胞培养技术服务 素尔细胞库服务好,价格优惠
U266细胞价格人外周淋巴细胞株说明书 进口细胞传代复苏技术服务|小鼠杂交瘤细胞培养技术服务|杂交瘤细胞培养技术服务 素尔细胞库服务好,价格优惠 进口细胞传代复苏技术服务|小鼠杂交瘤细胞培养技术服务|杂交瘤细胞培养技术服务 素尔细胞库服务好,价格优惠
JVM-2细胞价格 EB病毒感染的人外周淋巴细胞株说明书 进口细胞传代复苏技术服务|小鼠杂交瘤细胞培养技术服务|杂交瘤细胞培养技术服务 素尔细胞库服务好,价格优惠
M2-10B4细胞价格 小鼠骨髓纤维原细胞株说明书 进口细胞传代复苏技术服务|小鼠杂交瘤细胞培养技术服务|杂交瘤细胞培养技术服务 素尔细胞库服务好,价格优惠
SW48细胞价格人结肠腺癌细胞株说明书 进口细胞传代复苏技术服务|小鼠杂交瘤细胞培养技术服务|杂交瘤细胞培养技术服务 素尔细胞库服务好,价格优惠
NCI-H441细胞价格人肺腺癌细胞株说明书 进口细胞传代复苏技术服务|小鼠杂交瘤细胞培养技术服务|杂交瘤细胞培养技术服务 素尔细胞库服务好,价格优惠
Farage细胞价格人B淋巴瘤细胞株说明书 进口细胞传代复苏技术服务|小鼠杂交瘤细胞培养技术服务|杂交瘤细胞培养技术服务 素尔细胞库服务好,价格优惠
MC/CAR细胞价格 人外周血淋巴细胞株说明书 进口细胞传代复苏技术服务|小鼠杂交瘤细胞培养技术服务|杂交瘤细胞培养技术服务 素尔细胞库服务好,价格优惠
HA-VSMC 细胞价格人主动脉血管平滑肌细胞株说明书 进口细胞传代复苏技术服务|小鼠杂交瘤细胞培养技术服务|杂交瘤细胞培养技术服务 素尔细胞库服务好,价格优惠
MPC-83细胞价格小鼠胰腺腺泡细胞株说明书 进口细胞传代复苏技术服务|小鼠杂交瘤细胞培养技术服务|杂交瘤细胞培养技术服务 素尔细胞库服务好,价格优惠
A549/DDP细胞价格人肺腺癌耐顺铂株株说明书 进口细胞传代复苏技术服务|小鼠杂交瘤细胞培养技术服务|杂交瘤细胞培养技术服务 素尔细胞库服务好,价格优惠
TEC细胞价格 人胸腺上皮细胞株说明书 进口细胞传代复苏技术服务|小鼠杂交瘤细胞培养技术服务|杂交瘤细胞培养技术服务 素尔细胞库服务好,价格优惠
EC细胞价格 视网膜内皮细胞株说明书 进口细胞传代复苏技术服务|小鼠杂交瘤细胞培养技术服务|杂交瘤细胞培养技术服务 素尔细胞库服务好,价格优惠
4179细胞价格长尾绿猴胚胎细胞株说明书 进口细胞传代复苏技术服务|小鼠杂交瘤细胞培养技术服务|杂交瘤细胞培养技术服务 素尔细胞库服务好,价格优惠
Walker256细胞价格大鼠腹水癌细胞株说明书 进口细胞传代复苏技术服务|小鼠杂交瘤细胞培养技术服务|杂交瘤细胞培养技术服务 素尔细胞库服务好,价格优惠
NK-92MI细胞价格 人恶性非霍奇金淋巴瘤患者的自然杀伤细胞株说明书 进口细胞传代复苏技术服务|小鼠杂交瘤细胞培养技术服务|杂交瘤细胞培养技术服务 素尔细胞库服务好,价格优惠
SRSV/3T3 细胞价格小鼠SRSV转化的3T3细胞株说明书 进口细胞传代复苏技术服务|小鼠杂交瘤细胞培养技术服务|杂交瘤细胞培养技术服务 素尔细胞库服务好,价格优惠
WEHI 231 细胞价格小鼠B淋巴细胞株说明书 进口细胞传代复苏技术服务|小鼠杂交瘤细胞培养技术服务|杂交瘤细胞培养技术服务 素尔细胞库服务好,价格优惠
3T3-Swiss albino细胞价格小鼠胚胎成纤维细胞株说明书 进口细胞传代复苏技术服务|小鼠杂交瘤细胞培养技术服务|杂交瘤细胞培养技术服务 素尔细胞库服务好,价格优惠
OKT 3细胞价格小鼠杂交瘤细胞(抗CD3) 株说明书 进口细胞传代复苏技术服务|小鼠杂交瘤细胞培养技术服务|杂交瘤细胞培养技术服务 素尔细胞库服务好,价格优惠
IMR-90细胞价格人胚肺成纤维细胞株说明书 进口细胞传代复苏技术服务|小鼠杂交瘤细胞培养技术服务|杂交瘤细胞培养技术服务 素尔细胞库服务好,价格优惠
M-7 细胞价格人胚胎成纤维细胞株说明书 进口细胞传代复苏技术服务|小鼠杂交瘤细胞培养技术服务|杂交瘤细胞培养技术服务 素尔细胞库服务好,价格优惠
M-20细胞价格人胚胎成纤维细胞株说明书 进口细胞传代复苏技术服务|小鼠杂交瘤细胞培养技术服务|杂交瘤细胞培养技术服务 素尔细胞库服务好,价格优惠
M-22细胞价格人胚胎成纤维细胞株说明书 进口细胞传代复苏技术服务|小鼠杂交瘤细胞培养技术服务|杂交瘤细胞培养技术服务 素尔细胞库服务好,价格优惠
4647细胞价格长尾绿猴肾细胞株说明书 进口细胞传代复苏技术服务|小鼠杂交瘤细胞培养技术服务|杂交瘤细胞培养技术服务 素尔细胞库服务好,价格优惠
293H细胞价格人胚肾细胞株说明书 进口细胞传代复苏技术服务|小鼠杂交瘤细胞培养技术服务|杂交瘤细胞培养技术服务 素尔细胞库服务好,价格优惠
293F 细胞价格人胚肾细胞株说明书 进口细胞传代复苏技术服务|小鼠杂交瘤细胞培养技术服务|杂交瘤细胞培养技术服务 素尔细胞库服务好,价格优惠
DC2.4细胞价格小鼠骨髓来源树突状细胞株说明书 进口细胞传代复苏技术服务|小鼠杂交瘤细胞培养技术服务|杂交瘤细胞培养技术服务 素尔细胞库服务好,价格优惠
FLS细胞价格成纤维样滑膜细胞株说明书 进口细胞传代复苏技术服务|小鼠杂交瘤细胞培养技术服务|杂交瘤细胞培养技术服务 素尔细胞库服务好,价格优惠
HSPC-1细胞价格人造血干细胞株说明书 进口细胞传代复苏技术服务|小鼠杂交瘤细胞培养技术服务|杂交瘤细胞培养技术服务 素尔细胞库服务好,价格优惠
muller细胞价格大鼠视网膜神经胶质细胞株说明书 进口细胞传代复苏技术服务|小鼠杂交瘤细胞培养技术服务|杂交瘤细胞培养技术服务 素尔细胞库服务好,价格优惠
PC-61细胞价格小鼠杂交瘤细胞CD25株说明书 进口细胞传代复苏技术服务|小鼠杂交瘤细胞培养技术服务|杂交瘤细胞培养技术服务 素尔细胞库服务好,价格优惠
RAMOS (RA 1) 细胞价格人B淋巴细胞瘤细胞株说明书 进口细胞传代复苏技术服务|小鼠杂交瘤细胞培养技术服务|杂交瘤细胞培养技术服务 素尔细胞库服务好,价格优惠
TC-1细胞价格小鼠肺上皮细胞株说明书 进口细胞传代复苏技术服务|小鼠杂交瘤细胞培养技术服务|杂交瘤细胞培养技术服务 素尔细胞库服务好,价格优惠
气平细胞价格气道平滑肌细胞株说明书 进口细胞传代复苏技术服务|小鼠杂交瘤细胞培养技术服务|杂交瘤细胞培养技术服务 素尔细胞库服务好,价格优惠
MDA-MB-361细胞价格 人乳腺癌细胞株说明书 进口细胞传代复苏技术服务|小鼠杂交瘤细胞培养技术服务|杂交瘤细胞培养技术服务 素尔细胞库服务好,价格优惠
LM9细胞价格小鼠HGPRT基因缺陷型骨肉瘤细胞株说明书 进口细胞传代复苏技术服务|小鼠杂交瘤细胞培养技术服务|杂交瘤细胞培养技术服务 素尔细胞库服务好,价格优惠
DT40细胞价格鸡淋巴瘤细胞株说明书 进口细胞传代复苏技术服务|小鼠杂交瘤细胞培养技术服务|杂交瘤细胞培养技术服务 素尔细胞库服务好,价格优惠
Kasumi-1细胞价格 人急性淋巴白血病细胞株说明书 进口细胞传代复苏技术服务|小鼠杂交瘤细胞培养技术服务|杂交瘤细胞培养技术服务 素尔细胞库服务好,价格优惠
WEHI 164 细胞价格鼠纤维肉瘤细胞株说明书 进口细胞传代复苏技术服务|小鼠杂交瘤细胞培养技术服务|杂交瘤细胞培养技术服务 素尔细胞库服务好,价格优惠
DMS153细胞价格人小细胞肺癌株说明书 进口细胞传代复苏技术服务|小鼠杂交瘤细胞培养技术服务|杂交瘤细胞培养技术服务 素尔细胞库服务好,价格优惠
NCI-H838细胞价格人非小细胞肺癌细胞株说明书 进口细胞传代复苏技术服务|小鼠杂交瘤细胞培养技术服务|杂交瘤细胞培养技术服务 素尔细胞库服务好,价格优惠
NCTC 1469细胞价格小鼠正常肝细胞株说明书 进口细胞传代复苏技术服务|小鼠杂交瘤细胞培养技术服务|杂交瘤细胞培养技术服务 素尔细胞库服务好,价格优惠
NEC 细胞价格人食管癌细胞株说明书 进口细胞传代复苏技术服务|小鼠杂交瘤细胞培养技术服务|杂交瘤细胞培养技术服务 素尔细胞库服务好,价格优惠
P3/NSI/1-Ag4-1 [NS-1] 细胞价格小鼠骨髓瘤细胞株说明书 进口细胞传代复苏技术服务|小鼠杂交瘤细胞培养技术服务|杂交瘤细胞培养技术服务 素尔细胞库服务好,价格优惠
P3X63Ag8.653细胞价格小鼠骨髓瘤细胞株说明书 进口细胞传代复苏技术服务|小鼠杂交瘤细胞培养技术服务|杂交瘤细胞培养技术服务 素尔细胞库服务好,价格优惠
PA-1 细胞价格人卵巢畸胎瘤细胞株说明书
PC-12(未分化) 细胞价格大鼠肾上腺嗜铬细胞瘤细胞(未分化) 株说明书 进口细胞传代复苏技术服务|小鼠杂交瘤细胞培养技术服务|杂交瘤细胞培养技术服务 素尔细胞库服务好,价格优惠
PC-3M-2B4细胞价格人前列腺癌低转移细胞株株说明书 进口细胞传代复苏技术服务|小鼠杂交瘤细胞培养技术服务|杂交瘤细胞培养技术服务 素尔细胞库服务好,价格优惠
PC-3M IE8细胞价格人前列腺癌高转移细胞株说明书 进口细胞传代复苏技术服务|小鼠杂交瘤细胞培养技术服务|杂交瘤细胞培养技术服务 素尔细胞库服务好,价格优惠
PLC/PRF/5细胞价格人肝癌亚力山大细胞株说明书 进口细胞传代复苏技术服务|小鼠杂交瘤细胞培养技术服务|杂交瘤细胞培养技术服务 素尔细胞库服务好,价格优惠
Psi2 DAP细胞价格小鼠胚胎成纤维细胞株说明书 进口细胞传代复苏技术服务|小鼠杂交瘤细胞培养技术服务|杂交瘤细胞培养技术服务 素尔细胞库服务好,价格优惠
QG-56细胞价格人肺扁平上皮癌细胞株说明书 进口细胞传代复苏技术服务|小鼠杂交瘤细胞培养技术服务|杂交瘤细胞培养技术服务 素尔细胞库服务好,价格优惠
QGY-7703细胞价格人肝癌细胞株说明书 进口细胞传代复苏技术服务|小鼠杂交瘤细胞培养技术服务|杂交瘤细胞培养技术服务 素尔细胞库服务好,价格优惠
QSG-7701细胞价格人肝细胞株说明书 进口细胞传代复苏技术服务|小鼠杂交瘤细胞培养技术服务|杂交瘤细胞培养技术服务 素尔细胞库服务好,价格优惠
R 1610细胞价格仓鼠肺细胞株说明书 进口细胞传代复苏技术服务|小鼠杂交瘤细胞培养技术服务|杂交瘤细胞培养技术服务 素尔细胞库服务好,价格优惠
RAG 细胞价格小鼠肾腺癌细胞株说明书 进口细胞传代复苏技术服务|小鼠杂交瘤细胞培养技术服务|杂交瘤细胞培养技术服务 素尔细胞库服务好,价格优惠
RBL-1细胞价格大鼠嗜碱性粒细胞性白血病细胞株说明书 进口细胞传代复苏技术服务|小鼠杂交瘤细胞培养技术服务|杂交瘤细胞培养技术服务 素尔细胞库服务好,价格优惠
RIN-m5f细胞价格 大鼠胰岛β细胞瘤细胞株说明书 进口细胞传代复苏技术服务|小鼠杂交瘤细胞培养技术服务|杂交瘤细胞培养技术服务 素尔细胞库服务好,价格优惠
HGF-1细胞价格人牙龈成纤维细胞株说明书 进口细胞传代复苏技术服务|小鼠杂交瘤细胞培养技术服务|杂交瘤细胞培养技术服务 素尔细胞库服务好,价格优惠
HHCC细胞价格人肝癌细胞株说明书 进口细胞传代复苏技术服务|小鼠杂交瘤细胞培养技术服务|杂交瘤细胞培养技术服务 素尔细胞库服务好,价格优惠
HKC细胞价格 人肝癌细胞株说明书 进口细胞传代复苏技术服务|小鼠杂交瘤细胞培养技术服务|杂交瘤细胞培养技术服务 素尔细胞库服务好,价格优惠
HLF-a细胞价格人肺细胞株说明书 进口细胞传代复苏技术服务|小鼠杂交瘤细胞培养技术服务|杂交瘤细胞培养技术服务 素尔细胞库服务好,价格优惠
HOS 细胞价格人骨肉瘤细胞株说明书 进口细胞传代复苏技术服务|小鼠杂交瘤细胞培养技术服务|杂交瘤细胞培养技术服务 素尔细胞库服务好,价格优惠
HPAC细胞价格人胰腺腺泡上皮癌细胞株说明书 进口细胞传代复苏技术服务|小鼠杂交瘤细胞培养技术服务|杂交瘤细胞培养技术服务 素尔细胞库服务好,价格优惠
HS 683细胞价格人脑胶质瘤细胞株说明书 进口细胞传代复苏技术服务|小鼠杂交瘤细胞培养技术服务|杂交瘤细胞培养技术服务 素尔细胞库服务好,价格优惠
Hs68细胞价格人男性正常龟头细胞株说明书 进口细胞传代复苏技术服务|小鼠杂交瘤细胞培养技术服务|杂交瘤细胞培养技术服务 素尔细胞库服务好,价格优惠
HuT 78细胞价格人T淋巴细胞白血病细胞株说明书 进口细胞传代复苏技术服务|小鼠杂交瘤细胞培养技术服务|杂交瘤细胞培养技术服务 素尔细胞库服务好,价格优惠
HuTu-80细胞价格人十二脂肠腺癌细胞株说明书 进口细胞传代复苏技术服务|小鼠杂交瘤细胞培养技术服务|杂交瘤细胞培养技术服务 素尔细胞库服务好,价格优惠
NK-92细胞价格人恶性非霍奇金淋巴瘤患者的自然杀伤细胞株说明书 进口细胞传代复苏技术服务|小鼠杂交瘤细胞培养技术服务|杂交瘤细胞培养技术服务 素尔细胞库服务好,价格优惠
CFSC-2G细胞价格大鼠肝星形细胞株说明书 复苏的原则-快速融化:必须将冻存在-196℃液氮中的细胞快速融化至37℃,使细胞外冻存时的冰晶迅速融化,避免冰晶缓慢融化时进入细胞形成再结晶,对细胞造成损害。
冷冻细胞解冻程序:
依据细胞株数据单之基础培养基种类、血清种类和其它之成份和比例, 制备培养基。大多数之细胞均无法立即适应不同之基础培养基或不同之血清种类, 若因实验需要, 必须有所不同时, 务必以缓慢比例渐次改变培养基组成, 确定细胞适应后, 方进行所需之实验。
FBS (fetal bovine serum, 胚牛血清), CS (calf serum, 小牛血清)和HS (horse serum, 马血清),对细胞而言差异大,请务必依据细胞株资料单之血清种类培养之。
将培养基置于 37 °C水槽中回温,回温后喷以70 % 酒精并擦拭之, 移入无菌操作台内。取出冷冻管, 立即放入37 °C 水槽中快速解冻, 水面高度不可接近或高过冷冻管之盖沿, 否则易发生污染。轻摇冷冻管使其在1 分钟内全部融化后, 以70 % ethanol 擦拭冷冻管外部, 移入无菌操作台内。
依据细胞种类和浓度,于无菌操作台内取 10 ml培养基加至 T25或 T75 flask中。取出已解冻之细胞悬浮液,缓缓加入T25 或T75 flask 内之培养基, 混 合均匀,放入37 °C,5 % CO2 培养箱培养。
对大多数细胞而言,1 % 以下之冷冻保护剂DMSO,不会对细胞之贴附或活化有不良影响,不需立刻由解冻细胞中去除,待第二天确定细胞生长或贴附良好后再去除即可。唯对少数因对DMSO 敏感或会造成细胞分化之细胞,需立即去除DMSO 者, 则可将解冻后之细胞悬浮液放入5 - 10 ml 培养基中,离心300 xg (约1000 rpm),5 分钟,小心移去上清液,加入适量新鲜培养基,将细胞均匀混合后, 转移至培养瓶中, 再放入37 °C, 5 % CO2 培养箱培养。收到T25 flask 细胞时, 处理方式为︰
1. 于寄送过程中,为避免起泡造成细胞脱落死亡,T25 flask 均加满培养基。请检查flask 外观,并于显微镜下观察细胞生长状况和有无污染现象,若有任何问题, 不要打开盖子,请立即通知细胞实验室。
2. 将原封之T25 flask 静置于37 °C, 5 % CO2 培养箱中,使细胞回温至37 °C, 并让运送过程中少数脱落的细胞可再附着生长。隔天后,于无菌操作箱内取出flask内之培养基,(取出之培养基可以再使用),仅留约5-10ml 培养基于flask 内,依 一般培养方式再将细胞置入培养箱中或细胞已长满盘, 则将细胞做传代培养。
科研试剂:胎牛血清,细胞株细胞系,抗原抗体,大鼠ELISA试剂盒,小鼠ELISA试剂盒,ELISA试剂盒说明书,人ELISA试剂盒,动物疫病诊断试剂盒,诊断液,标准品,生化试剂,更多关于【CFSC-2G细胞价格大鼠肝星形细胞株说明书 】详细信息,点击查看www.biosuer.com。
如果您觉得“CFSC-2G细胞价格大鼠肝星形细胞株说明书”描述资料不够齐全,请联系我们获取详细资料。(联系时请告诉我从给览网看到的,我们将给您最大优惠!)
本页链接:http://www.geilan.com/com_suer2013/sell/itemid-5535097.html
已经有1217位访客查看了本页.






